Composiet Facings
Welkom bij Art Dent: Uw specialist in composietfacing.
We begrijpen het belang van een stralende glimlach en bieden hoogwaardige oplossingen voor composietfacing die uw zelfvertrouwen zullen vergroten.


WAT ZIJN COMPOSIETFACINGS?
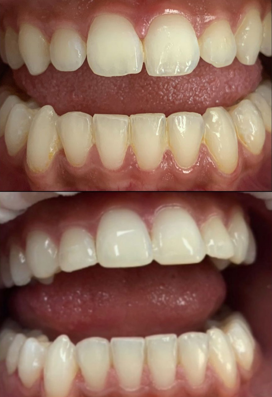
Composietfacing zijn dunne lagen tandkleurig vulmateriaal die rechtstreeks op de tanden worden aangebracht om onvolkomenheden te verbergen en de esthetiek van uw glimlach te verbeteren.
Deze facings worden op maat gemaakt en met de hand gemodelleerd en gepolijst om een natuurlijke uitstraling te creëren die overeenkomt met de rest van de tanden.
Voordelen van composietfacing:
Verbeterde esthetiek: composietfacing kunnen verkleuringen, scheve tanden, openingen en andere onregelmatigheden verbergen, waardoor uw glimlach helderder en aantrekkelijker wordt.
Betaalbaarheid: composietfacing is over het algemeen een betaalbare optie voor patiënten die een esthetische oplossing zoeken voor hun glimlach.
Snelle resultaten: in slechts één afspraak kunnen we uw glimlach transformeren met composietfacing, zodat u snel kunt genieten van een stralende nieuwe look zonder invasieve procedures.
Nazorg en onderhoud: Om ervoor te zorgen dat uw composietfacing lang meegaan, is het belangrijk om een goede mondhygiëne te handhaven en regelmatige controles te laten uitvoeren door uw Art Dent-provider. Vermijd ook het gebruik van tabak en overmatige consumptie van voedingsmiddelen en dranken die kleurstoffen bevatten om verkleuring te voorkomen.

Bij Art Dent Clinic hebben we een onwankelbare toewijding aan uitmuntendheid.
AFSPRAAK MAKEN



