Tanden Bleken
Tandverkleuring kan zich in de loop van de tijd ontwikkelen en vervelend worden.
Als u dit wilt aanpakken, bieden wij veilige en volledig pijnloze bleekbehandelingen in onze praktijk aan. We helpen u effectief om uw natuurlijk witte glimlach te herstellen,


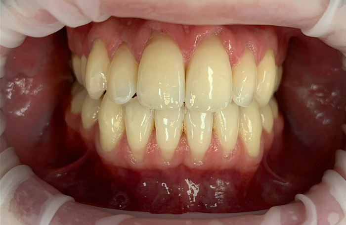
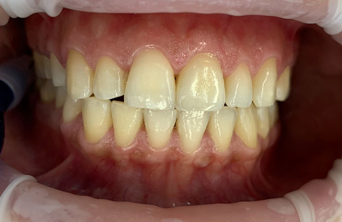
WAT IS TANDEN BLEKEN?
Tanden bleken is een veilige en effectieve procedure om verkleuring en vlekken op het tandoppervlak te verminderen, waardoor uw glimlach witter en helderder wordt.
Bij Art Dent bieden we professionele bleekbehandelingen die zijn ontworpen om snelle en veilige resultaten te leveren.
Voordelen van tanden bleken
Stralend witte glimlach: Onze bleekbehandelingen zullen uw tanden meerdere tinten witter maken, waardoor uw glimlach opvalt en het zelfvertrouwen vergroot.
Veilige procedure: Bij Art Dent gebruiken we geavanceerde bleektechnologieën en materialen om ervoor te zorgen dat de behandeling veilig en comfortabel is.
Aangepaste behandeling: Onze ervaren tandartsen zullen een bleekbehandeling op maat voor u samenstellen, rekening houdend met uw specifieke behoeften en voorkeuren.
Langdurige resultaten: Met de juiste nazorg kunnen de resultaten van tanden bleken langdurig zijn, waardoor u langdurig kunt genieten van een stralend witte glimlach.

Bij Art Dent Clinic hebben we een onwankelbare toewijding aan uitmuntendheid.
AFSPRAAK MAKEN







