Laser Tandheelkundige Behandeling
Ervaar geavanceerde tandheelkundige zorg met onze uitgebreide laserbehandelingen bij Art Dent. Van tandvleesgezondheid tot cosmetische verbeteringen, onze nauwkeurige laserprocedures bieden efficiënte en comfortabele oplossingen.


BIJZONDERE LASERBEHANDELINGEN
Bij Art Dent bieden we geavanceerde behandelingen zoals kroonverlenging en tandvleescontouring om de esthetiek en functionaliteit van uw tandvleeslach te verbeteren.
Deze behandelingen zijn ontworpen om problemen met overtollig tandvleesweefsel of een ongelijkmatige tandvleeslijn aan te pakken, waardoor u een meer evenwichtige en aantrekkelijke glimlach krijgt.
WAT IS KROONVERLENGING?
Kroonverlenging is een chirurgische ingreep waarbij overtollig tandvleesweefsel en in sommige gevallen bot worden verwijderd om meer van het tandoppervlak bloot te leggen.
Dit kan om verschillende redenen nodig zijn, waaronder:
Het voorbereiden van een tand voor restauratieve ingrepen zoals kronen of bruggen wanneer er niet genoeg tandstructuur is blootgesteld.
Het corrigeren van een “gummy smile” waarbij overtollig tandvlees een groot deel van de tanden bedekt, waardoor ze korter lijken dan ze werkelijk zijn.
Het hervormen van de tandvleeslijn voor cosmetische doeleinden om een meer evenredige en symmetrische glimlach te creëren.
WAT IS TANDVLEESCONTOURING?
Tandvleescontouring, ook wel tandvleesvervorming of gingiva sculptuur genoemd, is een cosmetische tandheelkundige ingreep waarbij de tandvleeslijn wordt hervormd om de uitstraling van uw glimlach te verbeteren.
Deze procedure wordt vaak uitgevoerd om het volgende aan te pakken:
Onregelmatige tandvleeslijn: Tandvleescontouring kan worden gebruikt om overtollig tandvleesweefsel weg te snijden of op te bouwen om een meer symmetrische en evenwichtige tandvleeslijn te creëren.
Overmatig tandvleesweefsel: Sommige mensen kunnen last hebben van een aandoening die bekend staat als “gingivale hyperplasie”, waarbij het tandvleesweefsel overgroeit en een groot deel van de tanden bedekt. Tandvleescontouring kan overtollig weefsel verwijderen om meer van het tandoppervlak bloot te leggen.
Kroonverlenging: In gevallen waarin er onvoldoende tandstructuur is blootgesteld, kan tandvleescontouring deel uitmaken van het proces van kroonverlenging om een meer evenredige uitstraling te creëren.
Voordelen van Kroonverlenging en Tandvleescontouring:
Verbeterde Glimlach Esthetiek: Door de tandvleeslijn te hervormen en meer van het tandoppervlak bloot te leggen, kunnen kroonverlenging en tandvleescontouring aanzienlijk de esthetiek van uw glimlach verbeteren.
Verbeterde Mondgezondheid: Deze procedures kunnen ook bijdragen aan een betere mondhygiëne door gebieden te verminderen waar tandplak en bacteriën zich kunnen ophopen, waardoor het risico op tandvleesproblemen en tandbederf wordt verlaagd.
Op Maat Gemaakte Behandelplannen: Ons ervaren tandheelkundige team zal uw unieke behoeften en doelen beoordelen om een gepersonaliseerd behandelplan te ontwikkelen dat is afgestemd op het behalen van de gewenste resultaten.


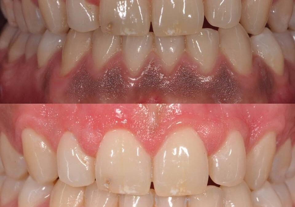
What is TANDVLEESBLEKEN?
Tandvleesbleken, ook bekend als tandvleesdepigmentatie, is een cosmetische tandheelkundige procedure die is ontworpen om de kleur van donker of gepigmenteerd tandvlees te verlichten.
Donker tandvlees, vaak veroorzaakt door overmatige melanineproductie, kan een bron van zelfbewustzijn zijn voor veel mensen. Tandvleesbleken biedt een oplossing door de verschijning van tandvleespigmentatie te verminderen en een meer uniforme en aantrekkelijke tandvleeskleur te creëren.
Het Tandvleesbleekproces:
Consultatie: Tijdens uw eerste consultatie zal ons tandheelkundig team de conditie van uw tandvlees beoordelen en uw doelen voor de behandeling bespreken. We zullen ook uw medische geschiedenis doornemen om ervoor te zorgen dat u een geschikte kandidaat bent voor tandvleesbleken.
Behandelplanning: Op basis van uw individuele behoeften en voorkeuren zullen we een gepersonaliseerd behandelplan ontwikkelen dat is afgestemd op het behalen van uw gewenste resultaten. Ons doel is om u een natuurlijke en esthetisch aantrekkelijke kleur van het tandvlees te bieden.
Bleekprocedure: De tandvleesbleekprocedure omvat meestal het aanbrengen van een gespecialiseerd bleekmiddel op het tandvleesweefsel. Dit middel helpt overtollige melaninepigmenten af te breken en de kleur van het tandvlees te verlichten. De procedure is minimaal invasief en wordt met precisie uitgevoerd om optimale resultaten te garanderen.
Herstel en Follow-up: Na de tandvleesbleekprocedure kunt u lichte ongemakken of zwelling ervaren, die kunnen worden beheerd met pijnstillers die zonder recept verkrijgbaar zijn en een goede mondhygiënepraktijken. Ons team zal u gedetailleerde instructies geven voor na de behandeling om genezing te bevorderen en uw resultaten te optimaliseren. We plannen ook follow-up afspraken om uw voortgang te volgen en ervoor te zorgen dat u tevreden bent met het resultaat.
Voordelen van Tandvleesbleken:
Verbeterde Esthetiek van de Glimlach: Tandvleesbleken kan aanzienlijk de algehele uitstraling van uw glimlach verbeteren door een meer gelijkmatige en aantrekkelijke tandvleeslijn te creëren.
Gezonde Kleur & Verhoogd Zelfvertrouwen: Het bereiken van helderder, gezonder ogende tandvlees kan uw zelfvertrouwen en zelfrespect versterken, waardoor u met vernieuwd vertrouwen kunt glimlachen.
Veilig en Effectief: Onze tandvleesbleekbehandelingen worden uitgevoerd door ervaren tandheelkundige professionals met behulp van onze meest geavanceerde laser technieken en hoogwaardige materialen, wat zorgt voor veilige en betrouwbare resultaten.


BACTERIËLE DESINFECTIE BIJ PARODONTALE PATIËNTEN
Bij Art Dent stellen we de gezondheid en het welzijn van onze parodontale patiënten voorop door geavanceerde bacteriële desinfectiebehandelingen aan te bieden om tandvleesziekten effectief te beheersen en de mondgezondheid te bevorderen. Onze allesomvattende aanpak combineert professionele tandheelkundige reinigingen, gerichte antimicrobiële therapieën en patiëntenvoorlichting om bacteriële groei te controleren en gezond tandvlees te behouden.
UNDERSTANDING PERIODONTALE ZIEKTE EN BACTERIËLE INFECTIES
Periodontale ziekte, algemeen bekend als tandvleesziekte, is een bacteriële infectie die het tandvlees en de ondersteunende structuren van de tanden aantast. Als het onbehandeld blijft, kan het leiden tot ontstoken tandvlees, terugtrekkend tandvlees, tandverlies en systemische gezondheidsproblemen. Bacteriële desinfectie speelt een cruciale rol bij het beheersen van parodontale ziekte door schadelijke bacteriën te elimineren en de voortgang van de ziekte te voorkomen.
VOORDELEN VAN BACTERIËLE DESINFECTIE BIJ ART DENT
Verbeterde Parodontale Gezondheid: Bacteriële desinfectiebehandelingen verminderen effectief de bacteriële belasting in de mond, wat leidt tot verbeterde parodontale gezondheid en een verminderd risico op ziekteprogressie.
Preventie van Complicaties: Door de groei van bacteriën te controleren, kunnen we complicaties voorkomen die verband houden met onbehandelde parodontale ziekte, zoals tandverlies, botverlies en systemische gezondheidsproblemen.
Verbeterd Algeheel Welzijn: Het behouden van gezond tandvlees draagt bij aan de algehele gezondheid en welzijn, aangezien onderzoek heeft aangetoond dat er een verband bestaat tussen parodontale ziekte en systemische aandoeningen zoals hartziekten, diabetes en ademhalingsproblemen.
ONZE BACTERIËLE DESINFECTIE PROTOCOLLEN
Professionele Tandheelkundige Reinigingen: Regelmatige tandheelkundige reinigingen uitgevoerd door onze ervaren tandhygiënisten zijn essentieel voor het verwijderen van tandplak en tandsteen, die schadelijke bacteriën herbergen. Deze reinigingen helpen de ontwikkeling en voortgang van parodontale ziekte te voorkomen.
Scaling en Wortelplaning: Voor patiënten met meer gevorderde tandvleesziekte kunnen we scaling en wortelplaning aanbevelen, een diepe reinigingsprocedure die tandplak en tandsteen verwijdert van onder de tandvleesrand en de tandwortels glad maakt om bacteriegroei te ontmoedigen.
Antimicrobiële Therapie: Naast traditionele parodontale behandelingen kunnen we antimicrobiële middelen zoals antibiotica of antiseptische mondspoelingen gebruiken in onze geavanceerde laserprotocollen om bacteriën in parodontale pockets te targeten en elimineren, wat genezing bevordert en ontstekingen vermindert.
Patiëntenvoorlichting: We geloven dat patiëntenvoorlichting essentieel is voor succesvolle parodontale behandeling. Ons tandheelkundig team zal u voorzien van gepersonaliseerde instructies voor mondhygiëne, voedingsaanbevelingen, en aanpassingen in levensstijl om u te helpen optimale mondgezondheid te behouden en de terugkeer van tandvleesaandoeningen te voorkomen.
MAAK EEN AFSPRAAK BIJ ART DENT:
AFSPRAAK MAKEN
PIJN EN OCCLUSALE DISFUNCTIE VAN DE TMD
Bij Art Dent begrijpen we het ongemak en de uitdagingen die gepaard gaan met temporomandibulaire disfunctie (TMD) en occlusale disfunctie. Daarom bieden we geavanceerde laserbehandelingen aan om symptomen te verlichten en de juiste functie van uw kaakgewricht en beet te herstellen. Ons doel is om u verlichting te bieden van de pijn en ongemakken gerelateerd aan TMD, terwijl we optimale kaakfunctie en mondgezondheid bevorderen.
BEGRIJPEN VAN TMD-PIJN EN OCCLUSALE DISFUNCTIE
Temporomandibulaire gewrichtsstoornis (TMD) omvat een reeks aandoeningen die het TMJ-affecteren, het gewricht dat uw kaak met uw schedel verbindt. TMD kan symptomen veroorzaken zoals kaakpijn, gezichtscomfort, klikkende of knappende geluiden in het kaakgewricht, moeite met kauwen en hoofdpijn. Occlusale disfunctie verwijst naar problemen met de uitlijning van uw tanden en hoe ze samenkomen wanneer u bijt.
LASER BEHANDELINGEN VOOR TMD-PIJN EN OCCLUSALE DISFUNCTIE
Lage-Level Lasertherapie (LLLT): LLLT, ook bekend als koude lasertherapie, maakt gebruik van laag-intensieve laserlicht om ontsteking te verminderen en weefselgenezing te bevorderen. Het kan helpen bij het verlichten van TMD-pijn, het verminderen van spierspanning en het verbeteren van de kaakfunctie.
Triggerpointtherapie: Lasertherapie kan worden gecombineerd met triggerpointtherapie om specifieke gebieden van spierspanning of triggerpoints in de kaakspieren te behandelen, waardoor verlichting wordt geboden bij TMD-gerelateerde pijn en stijfheid.
VOORDELEN VAN LASERBEHANDELINGEN BIJ ART DENT
Niet-Invasief: Laserbehandelingen voor TMD-pijn en occlusale disfunctie zijn niet-invasief, wat betekent dat ze doorgaans gepaard gaan met minimale ongemakken en hersteltijd.
Precisie: Laser technologie maakt precieze targeting van aangetaste gebieden mogelijk, waardoor schade aan omliggend weefsel wordt geminimaliseerd en optimale genezing wordt bevorderd.
Effectieve Verlichting: Lasertherapie heeft aangetoond effectief ontstekingen te verminderen, pijn te verlichten en de kaakfunctie te verbeteren bij patiënten met TMD-aandoeningen en occlusale disfunctie.
Op Maat Gemaakte Zorg: Ons tandheelkundig team zal een gepersonaliseerd behandelplan ontwikkelen dat is afgestemd op uw specifieke behoeften en symptomen, zodat u de meest effectieve en uitgebreide zorg krijgt.

Bij Art Dent Clinic hebben we een onwankelbare toewijding aan uitmuntendheid.
AFSPRAAK MAKEN
